Digital Scans
Say goodbye to goopy impression trays and hello to comfortable and convenient digital scanning! Creating your custom Invisalign trays has never been easier.

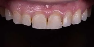
Veneers in Solana Beach, CA
We provide veneers and other cosmetic dentistry options for the Solana Beach community.
Give us a call to get more information!

Veneers in Solana Beach, CA
We provide veneers and several other cosmetic dentistry options for the Alexander Erwin, DDS community.
Give us a call to get more information!
If you’ve ever wished that you could totally transform your smile, veneers can help make that dream a reality. Made of thin yet durable porcelain, veneers are designed to cover the front surfaces of your teeth. They can be used to hide a variety of cosmetic imperfections such as severely stained teeth, chipped or broken teeth, misaligned or misshapen teeth, and gapped teeth. Their versatility makes them an extremely popular treatment option for patients who are looking for a permanent, comfortable, natural-looking cosmetic upgrade.

If you’ve ever wished that you could totally transform your smile, veneers can help make that dream a reality. Made of thin yet durable porcelain, veneers are designed to cover the front surfaces of your teeth. They can be used to hide a variety of cosmetic imperfections such as severely stained teeth, chipped or broken teeth, misaligned or misshapen teeth, and gapped teeth. Their versatility makes them an extremely popular treatment option for patients who are looking for a permanent, comfortable, natural-looking cosmetic upgrade.

The Benefits of Veneers
Veneers are works of art, designed to look slightly translucent, just like a natural tooth.
Because each veneer is individually placed, you can brush and floss like you normally do.
While veneers are very thin, porcelain is actually just as durable as natural tooth enamel.
The Benefits of Veneers
Veneers are works of art, designed to look slightly translucent, just like a natural tooth.
Because each veneer is individually placed, you can brush and floss like you normally do.
While veneers are very thin, porcelain is actually just as durable as natural tooth enamel.
Veneers Pricing

Get a brand new, confident smile, or improve the appearance of individual teeth
Did You Know...
You don’t need veneers for every tooth. Depending on your needs, you can get just one or an entire set.
Did You Know...
You don’t need veneers for every tooth. Depending on your needs, you can get just one or an entire set.

"I have known Dr. Robert Rosenfeld since he started practice 40 years ago. He is a great dentists and a great person. His office is efficient, professional, and up to date. Dr. Rosenfeld himself has a very gentle manner, explains things thoroughly, and makes the overall dental experience very tolerable, even for those who for or the dentist. I have been with the hygienist for 15 years or so, had multiple crowns placed, teeth whitened, etc. I will be sad when he retires, but by that time I may not have any teeth left. Cannot say enough good things."

"My second visit to Dr Rosenfeld. The Dr and his staff are awesome. On time, Professional, gentle and thorough. The office is extremely clean. The entire staff is polite and they truly care about your well being. Don't hesitate if you are looking for a great dentist. I will definitely return. Thank you for another easy, painless dental experience."

"The dentist used to always give me anxiety. Currently, I feel like I am receiving the best care, and the fear has lessened. Dr. Rosenfeld and staff do a wonderful job to advise me professionally and take care of me so I know all my options. A wonderful doctor and the best dental practitioner I’ve ever had."

"I have struggled to find a dental office/team that I don't dread going to for years. With Pinewood Dentistry, I not only don't dread going, I enjoy it. The entire staff makes you feel comfortable. As a child, it was ingrained into me that you go to the dentist every 6 months, but during the pandemic I definitely slacked off and after 2 years was not feeling great about the state of my teeth. There was a lot of anxiety walking into that office, but I was treated with nothing but kindness and respect. I didn't feel judged for one minute. If I could give more than five stars I would. You won't regret the switch."

"My dental treatments at Pinewood Denistry have been nothing short of excellent. I had several root canals done, a couple of teeth extracted, and ten new crowns placed on upper jaw teeth over a period of 6 weeks. The entire staff was friendly and very professional, and made the entire experience much less traumatic than I had imagined it to be beforehand. Special thanks to Dr. Bishop and Payden Gross for their work; and a special shout out to Payden for her recommendation to use their services. For the first time in my life I have a smile that I am proud of."

"I had the best experience!!!! If you are like me, afraid, scared, and lack of trust when it comes to dental work, look no further. I have always had bad luck with selecting a gentle yet informative dentist that would make me feel comfortable enough to guide me through the most painful times when it comes to dental work. Dr. Bishop was very kind, he assured me several times it was going to be ok. His concerns helped me relax and get through TWO emergency extractions. Not only am I grateful for finding him on the web as a first time patient, but I will see him again as a NEW patient!"

"Everyone at Refresh was patient and pleasant. They were checking in with my comfort levels, my concerns, and made sure to address any questions or issues I might have had. Not only was the work done well but it was done in a way that respects your autonomy."

"I moved to the area recently and was recommend Refresh Valley Dental by a friend. Aurora and team are wonderful and welcoming and the two visits for cavities I’ve had so far have been very quick and easy.
I am a high-anxiety person with dental stuff and the team really is accommodating with good communication and empathy."

Did You Know...
Veneers can help protect your natural enamel.
Did You Know...
Veneers can help protect your natural enamel.
After you’ve been approved for treatment during your cosmetic consultation, your dentist will gently buff away a thin layer of enamel to prepare your teeth that will be receiving the veneers.
After your teeth are prepared, you’ll have dental impressions or models taken of your teeth. These will be sent to a dental lab where your permanent veneers will be created. You will be sent home with a set of temporary resin veneers, which will protect your newly-prepared teeth until your permanent veneers are ready.
Once your dentist has checked the fit of your custom-made veneers and everything looks good, they’ll be attached to your teeth permanently using dental adhesive, completing your brand new smile.
The process starts by taking scans or impressions of your mouth so we can begin creating your veneers.
Enamel Removal
Then, 0.5 mm of enamel will be removed so that the veneer can merge to the tooth. This makes it an irreversible procedure because enamel doesn’t grow back.
After enamel removal, your prosthetics will be made based on the shade, size, and shape of teeth you want. When your prosthetics are complete, you will return to the office for the fitting and adjustment process.
The process starts by taking scans or impressions of your mouth so we can begin creating your veneers.
Enamel Removal
Then, 0.5 mm of enamel will be removed so that the veneer can merge to the tooth. This makes it an irreversible procedure because enamel doesn’t grow back.
After enamel removal, your prosthetics will be made based on the shade, size, and shape of teeth you want. When your prosthetics are complete, you will return to the office for the fitting and adjustment process.
We work with financing providers to offer payment plans to cover either all or part of your veneers procedure. Payments as low as $125 a month available.

99% Approval rate

Longer-term options for lower payments (up to 120 months). Extend your loan to lower your monthly payments!
Growing up near Chicago and attending college and dental school at West Virginia University, we’re happy Dr. Alexander Erwin, his wife, and their family made their way to lay roots in sunny San Diego, California. Treating patients from many walks of life since he began his career in 2014, Dr. Erwin simply loves keeping smiles pain-free and healthy. Now he leads the team at Alexander Erwin, DDS, where he can use his experience to treat patients with their best interest at heart. The ability to help a patient when they're in severe pain and improve smiles are some of Dr. Erwin’s favorite parts of dentistry.

No. Since traditional veneers are bonded into place permanently, they are not meant to be removed. In other words, the procedure is not reversible, as it requires a thin layer of enamel to be permanently buffed away from your teeth. After your treatment, you will need to take proper care of your veneers, and have them replaced if any of them break or become dislodged.
This varies and depends on how well you take care of your veneers, but most patients can keep a set of veneers for 15 to 20 years. Over time, your veneers may wear down, and you may need to have individual veneers repaired or replaced. The best way to prolong the lifespan of your veneers is to brush and floss properly, and to keep visiting your dentist every six months for a teeth cleaning and oral exam. You should also avoid doing things that could break or dislodge your veneers, such as chewing non-food objects, chewing hard foods with your front teeth, or using your teeth as tools.
Veneers are typically made of a high-quality ceramic porcelain material that looks and feels just like natural tooth enamel. The porcelain will be matched to the color of your teeth and is very similar to enamel in hardness and translucence, making it an ideal material for enhancing the appearance of your smile. Resin veneers are also available, but they are typically only used as temporary veneers because resin does not look as natural, and is not nearly as durable as porcelain veneers.
Veneers and Lumineers are very similar, except that Lumineers are much thinner than traditional veneers. Lumineers are a specific brand of veneers that are made out of a proprietary ceramic material. They are usually only about 0.2mm thick, whereas traditional veneers are about 0.5mm thick. Because of this, Lumineers can often be placed without trimming your existing enamel. This is why they’re often called “no-prep” or “minimal-prep” veneers.
Growing up near Chicago and attending college and dental school at West Virginia University, we’re happy Dr. Alexander Erwin, his wife, and their family made their way to lay roots in sunny San Diego, California. Treating patients from many walks of life since he began his career in 2014, Dr. Erwin simply loves keeping smiles pain-free and healthy. Now he leads the team at Alexander Erwin, DDS, where he can use his experience to treat patients with their best interest at heart. The ability to help a patient when they're in severe pain and improve smiles are some of Dr. Erwin’s favorite parts of dentistry.

Growing up in New York City, Dr. Aurora Fields decided to pursue dentistry while taking a medical diagnosis class in high school.She knew then that she wanted a career in medicine, but also that she wanted to engage more personally and artistically to help keep people happy, healthy, and thriving. She left the big city for Smith College here in Northampton to work on her undergraduate studies and fell in love with the Pioneer Valley area.After graduating with a degree in Chemistry, Dr. Aurora returned to New York State and went to the University of Buffalo, where she completed her doctorate of dental surgery degree, and met her wife, Erin. After moving in and out of the area for several years, Dr. Aurora and her wife settled back here in Northampton, and she started searching for the perfect space to host our practice. When Refresh Valley Dental finally opened in December 2021, we partnered with the Northampton Survival Center. Giving back to the community has been of paramount importance since day one, and Dr. Aurora says often that she considers herself extremely lucky to have found such a wonderful place to call home and such a great opportunity to give back to the community. During her free time, Dr. Aurora enjoys baking, painting, biking, birdwatching, and relaxing on the couch with her wife and cats over a mellow Netflix show. She also loves video games and good music — you might even hear her sing while she’s working!









Meet
Dr. Blalock
Dr. Blalock grew up on a beef cattle farm in Crossville, TN. The time he spent working on the farm taught Dr. Blalock valuable problem-solving skills and a good work ethic. After Dr. Blalock suffered a dental injury when a cow’s hoof contacted his teeth, his dentist repaired his smile and sparked a fascination for the art of dentistry. Because of that experience, Dr. Blalock realized his calling was to become a dentist. He loves that dental work gives him the ability to work creatively with his hands while interacting with patients and making a positive impact on their lives.
Dr. Blalock graduated Summa Cum Laude from Tennessee Tech University with an undergraduate degree in health science biology. He went on to graduate with honors from the University of Kentucky College of Dentistry

Meet
Dr. Blalock
Dr. Blalock grew up on a beef cattle farm in Crossville, TN. The time he spent working on the farm taught Dr. Blalock valuable problem-solving skills and a good work ethic. After Dr. Blalock suffered a dental injury when a cow’s hoof contacted his teeth, his dentist repaired his smile and sparked a fascination for the art of dentistry. Because of that experience, Dr. Blalock realized his calling was to become a dentist. He loves that dental work gives him the ability to work creatively with his hands while interacting with patients and making a positive impact on their lives.
Dr. Blalock graduated Summa Cum Laude from Tennessee Tech University with an undergraduate degree in health science biology. He went on to graduate with honors from the University of Kentucky College of Dentistry
We’re proud to serve the greater Cumming & Northern Atlanta community with quality veneers. Book your appointment today!
One of the aspects of our office that sets us apart from the rest is our dedication to keeping up with modern dentistry. With advanced imaging techniques like our CBCT and intraoral scanners, we can create accurate representations of your teeth, gums, and underlying structures, all in 3D.
We’re proud to serve the greater Cumming & Northern Atlanta community with quality veneers. Book your appointment today!
One of the aspects of our office that sets us apart from the rest is our dedication to keeping up with modern dentistry. With advanced imaging techniques like our CBCT and intraoral scanners, we can create accurate representations of your teeth, gums, and underlying structures, all in 3D.
Powered by Wonderist Agency, WonderFunnels | Privacy Policy
Powered by Wonderist Agency, WonderFunnels | Privacy Policy